Many people believe that once they diligently wear braces and have them removed, the task is “complete.” However, in reality, they have only finished half of the orthodontic journey—the other half requires wearing a retainer to complete the process.As an integral part of orthodontic treatment, the retainer plays a critical role in ensuring the final outcome of the correction.
Types of Retainers:
一、Hawley Retainer
It is made of acrylic and wire, somewhat resembling what is commonly referred to as a removable denture.

Advantages:
1. Quite durable and not easily damaged.
2. Stable and wear-resistant, and allows for active adjustment.
3. Does not interfere with occlusion and helps establish proper molar alignment.
Disadvantages:
1. Causes a strong foreign body sensation;
2. May affect speech;
3. Less aesthetically pleasing
二、Clear Retainer

The clear retainer, also known as a pressure-formed retainer, is fabricated by thermoforming a thin, transparent plastic sheet over a model of the teeth after orthodontic treatment. It consists of separate upper and lower parts, which fit precisely over the entire dental arch, fully encasing the teeth.
Advantages:
1. Aesthetically pleasing and nearly invisible, easy to remove, wear, and clean.
2. Minimal foreign body sensation.
3. Minimal impact on speech.
Disadvantages:
Prone to deformation, damage, and loss.
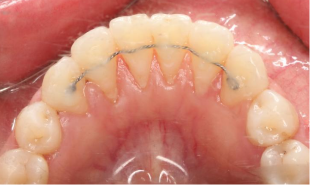
三、Lingual Fixed Retainer

The lingual fixed retainer is directly bonded to the lingual surfaces of the six front teeth in the upper and lower jaws and cannot be removed by the patient.
Advantages:
1. Bonded to the inner surfaces of the teeth, it does not affect aesthetics.
2. Stable and reliable, suitable for long-term maintenance.
Disadvantages:
Due to the fixed position of the lingual retainer, it is not easy to clean, which can easily lead to the accumulation of food debris and bacterial growth. Therefore, extra attention to oral hygiene is required.
Guidelines for Wearing a Retainer:
一、Storage of Retainers
When wearing the retainer full-time, remove it only for eating and brushing your teeth. Each time it is removed, it should be placed in a dedicated retainer storage case.If your retainer is damaged or lost, contact your orthodontist immediately to have a new one made.
二、Cleaning of Retainers
For removable retainers, use lukewarm water for cleaning—cold water may not rinse them thoroughly, while hot water can easily damage the retainer. It is recommended to use a small-headed soft-bristled toothbrush to gently brush away oral saliva and food residue from both the inside and outside of the retainer. Additionally, denture cleaning tablets should be used every one to two weeks for a thorough deep cleaning of the retainer.
三、Follow-up Visits During the Retention Phase
Regular follow-up appointments should be scheduled while wearing a retainer, typically every 3 to 6 months, to ensure early detection of any signs of relapse.
If you feel that the retainer has become loose or does not fit properly, contact your orthodontist immediately to schedule a follow-up for adjustments.